注射细菌可让人体肿瘤萎缩?
敌人的敌人可能是你的朋友。美国研究人员发现,一种生活在土壤中的致病细菌(16S物种鉴定)——诺维氏梭菌有可能成为新的抗癌辅助手段。这种微生物不仅让实验狗体内的肿瘤缩小了,对于人类肿瘤似乎也同样具有一定效果。
诺维氏梭菌是一种常见的厌氧菌,其释放的酶可以刺穿并杀死哺乳动物细胞。美国生物科技公司“生物医疗谷发现”公司的绍拉布·萨哈和同事们想弄清楚,是否可以利用这种细菌有选择性地杀死哺乳动物癌性肿瘤中的细胞,因为肿瘤组织中血行不畅,导致供氧不足,而这些细菌恰好喜欢缺氧环境。
研究团队对诺维氏梭菌进行了基因改造,剔除了产生毒素的主要基因,使其不会构成严重的健康风险,然后将转基因细菌注射到16只实验狗的肿瘤内。三个星期后,有9只狗体内的肿瘤已经萎缩或者消失。
研究人员随后在一位53岁的女性身上进行了细菌疗法的人体测试。这位女性体内的癌细胞已经扩散至肝脏、肺部和右肩软组织,但肿瘤对标准治疗无反应。研究人员将转基因诺维氏梭菌注射到她的肩部肿瘤,一个月后,肿瘤出现了萎缩。虽然注射细菌的确引发患者出现了细菌感染的一些常见症状,比如发烧和恶心,但在肿瘤缩小之后,这些症状可以通过使用抗生素得到控制。
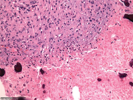
此次试验还显示,细菌并未侵袭肿瘤周围健康的富氧组织。事实上,在显微镜下,研究人员能够看到细菌感染的肿瘤细胞与非癌性正常细胞之间的精确边界。
研究团队在近日出版的《科学-转化医学》杂志上报告了上述成果。萨哈说:“这是第一项探讨利用细菌来消灭人体肿瘤的研究,其结果显示了良好的应用前景。”
哈佛医学院和贝思以色列女执事医疗中心的维卡斯·萨克哈特姆表示,“这是一项出色的研究”,它对局部肿瘤有很好的效果,但该疗法能否用于转移性癌症,还有待更多的研究加以证明。
萨哈强调,细菌不是治疗癌症的灵丹妙药,该方法与常规的化疗、放射治疗甚至个性化的癌症治疗方法截然不同,但若与其他疗法结合使用,可以为抗击癌症提供新的武器。
原文检索:
Nicholas J. Roberts, Linping Zhang, Filip Janku, Amanda Collins, Ren-Yuan Bai, Verena Staedtke,Anthony W. Rusk, David Tung, Maria Miller, Jeffrey Roix, Kristen V. Khanna, Ravi Murthy,Robert S. Benjamin, Thorunn Helgason, Ariel D. Szvalb, Justin E. Bird, Sinchita Roy-Chowdhuri,Halle H. Zhang, Yuan Qiao, Baktiar Karim, Jennifer McDaniel, Amanda Elpiner, Alexandra Sahora,Joshua Lachowicz, Brenda Phillips, Avenelle Turner, Mary K. Klein, Gerald Post, Luis A. Diaz, Jr,Gregory J. Riggins, Nickolas Papadopoulos, Kenneth W. Kinzler, Bert Vogelstein, Chetan Bettegowda,David L. Huso, Mary Varterasian, Saurabh Saha, and Shibin Zhou. Intratumoral injection of Clostridium novyi-NT spores induces antitumor responses. Sci Transl Med., 13 August 2014; DOI:10.1126/scitranslmed.3008982




