2021CSCO·第24届全国临床肿瘤学大会 | 基因检测精华内容汇总
【2021-10-17】
9月26日,为响应疫情防控的号召,第二十四届全国临床肿瘤学大会暨2021年中国临床肿瘤学会(CSCO)学术年会全面于线上开幕,仅保留线下的全体大会、CDE专场和创新药物临床研究数据专场。
本次大会的主题“聚焦创新研究,引领原创未来”,旨在帮助肿瘤患者更有尊严地对抗疾病,让更多患者享受大数据带来的医疗进步。会议主要包含以下三大重点内容:
重点1:细胞治疗、液态基因诊断
嵌合抗原受体T细胞(CAR-T)免疫疗法治疗的全程管理治疗、液态基因诊断是癌症治疗最前沿的发展方向之一。本次大会上,多位专家对其应用,给出了专业的见解。
重点2:内外科联动、跨学科治疗
内外科联动,尤其是其中放疗+免疫治疗的研究一直受到重视。
重点3:精准个体化治疗
会议强调全球多中心、癌症的早检早治以及精准个体化诊。
本届会议传达了肿瘤的重点治疗方向,其中“基因检测指导免疫联合治疗”在本届会议中大放异彩,专家学者们为大家介绍了多个实践案例前沿进展,小微妹来带大家一睹为快。
进展1:胰腺癌
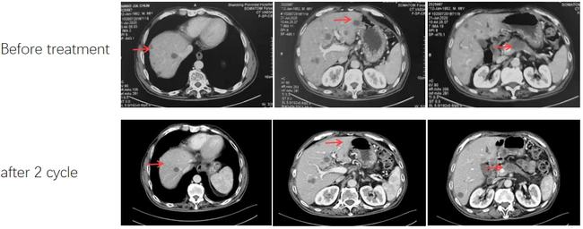
山东省新泰市人民医院韩超医生分享的“免疫联合治疗晚期胰腺癌病例”荣获肝胆胰专场一等奖。根据2020年《CSCO胰腺癌诊疗指南》推荐,本例晚期转移性不可切除胰腺癌患者的基因检测结果显示为MSI-H,以2020年CSCO胰腺癌诊疗指南为指导,确定选择“替雷利珠单抗+吉西他滨+奥沙利铂”的联合方案,治疗8个周期后患者病情持续部分缓解(PR),PFS长达8个月。
如下图所示,2020年7月至2020年9月,患者接受该联合方案治疗2个周期后,腹痛症状消失,NRS评分降至0-1分,CA199降至861ku/l,CEA降至77.77ng/ml,CT复查显示靶病灶总径较前缩小>30%,疗效评估为PR。
治疗前、治疗2周期后CT检查结果
进展2:胃癌
毕峰教授提出:2021年NCCN 指南推荐对活检标本、内镜切除病理标本以及未行新辅助治疗的根治术后病理标本常规检测MSI PCR 或MMR蛋白免疫组化。胃癌MSI-H患者h-MLH1启动子甲基化常见,超过50%,因此dMMR/MSI-H目前是NCCN指南推荐的胃癌免疫指导用药的最重要的生物标志物。
dMMR/MSI-H胃癌预后更好,单纯手术即可获得良好生存,体外数据提示 :dMMR/MSI-H型肿瘤细胞对烷化剂类、包括5-Fu在内的抗代谢类、卡铂以及顺铂耐药,对化疗方案不获益,甚至有害,少数研究提示化疗也可能获益。FDA批准dMMR/MSI-H为泛瘤种免疫治疗指征。
术期继PD-1单抗抑制剂晚期三线治疗地位确定后, 2021年晚期胃癌一线治疗进入免疫治疗联合化疗时代。对于HER-2阳性胃癌,抗HER-2药物有更多治疗选择,如抗HER-2类似物、曲妥珠单抗类似物等。阿帕替尼是晚期胃癌三线及以上的标准治疗方案(1级推荐,1A类证据),疗效有保障,并且具有较好经济学效应。纳武利尤单抗也被1级推荐用于晚期胃癌三线及以上治疗。免疫治疗的精准实施和优化布局存在诸多调整,如推进胃癌MDT对话、临床研究和转化研究的开展。
进展3:结直肠癌
2021年CSCO结直肠癌指南有多个更新要点,内容涉及不可切除结肠癌、转移灶潜在可切除组、姑息一线、二线及三线治疗、RAS野生/BRAF V6000E突变患者的姑息二线及三线治疗等多个领域。其中MSI检测中国专家共识提出:①所有结直肠癌患者均应进行MSI筛查,②考虑进行免疫治疗的晚期实体瘤应进行MSI检测从而筛查Lynch综合征,指导5-FU辅助化疗及抗PD-1治疗。
特定基因突变(如POLD1)与不同节点ctDNA是很有前景的新兴标志物,能够在预测直肠癌围术期NGRT疗效。治疗开始前、NCRT中、术前和术后,ctDNA的检出都预示着更差的预后,提示ctDNA在直肠癌中的预后价值,特别是在一些血清标志物正常的患者中,更有价值。
进展4:妇科肿瘤
30%子宫内膜癌患者具有微卫星不稳定现象。检测MSI可判断其PD-1免疫治疗获益以及临床分型,建议对子宫内膜癌和结直肠癌家族遗传史患者建议进行遗传咨询和检测评估是否为林奇综合征。
进展5:黑色素瘤
2021年最新发表于Frontiers in Oncology杂志的中国人群数据提示,达拉非尼联合曲美替尼双靶治疗中国1线治疗的ORR达到86.7%,中位PFS为11.2个月,中位OS为24.0个月。与高加索人群保持一致,客观缓解率甚至更优。
基于此证据的更新,2021年CSCO指南对“BRAF抑制剂+MEK抑制剂”在BRAF突变晚期黑色素瘤治疗的推荐,无论皮肤、肢端型患者均为I级推荐。
而在辅助治疗方面,结合COMBI-AD的结果及在中国正在开展的针对肢端患者辅助治疗的PAC研究,2021年CSCO指南针对BRAF V600突变的III期黑色素瘤的术后辅助治疗推荐,将“达拉非尼联合曲美替尼”双靶方案新纳入肢端辅助治疗中I级推荐,且新纳入黏膜辅助治疗中III级推荐,皮肤型患者延续I级推荐。
进展6:肝癌
传统AFP指标检测性能局限性很大,通过血液样本可以实现多维度生物标志物检测多维度联合检测潜在可以有效避免“漏诊”。
本届CSCO会议加强了与国内外肿瘤相关学术团体和肿瘤防治机构的联系,在合作中积蓄力量,在交流中不断成长。随着肿瘤治疗飞速发展,规范化的抗肿瘤治疗是基层医生给予患者的最好的治疗,其中基因检测指导免疫联合化疗为我们提供了新的治疗思路,下一步值得医学界关注和研究的是,如何通过免疫联合放化疗或其他方法,将“冷肿瘤”转变为“热肿瘤”,为PD-1/PD-L1抑制剂的应用提供更多的微环境支持。
参考文献:
[1] Global Cancer Observatory
[2] Mao L, et al. Front Oncol. 2021 Aug 24;11:720044
[3] Eric L Chang, et al. (2010). Whole-brain irradiation for patients with brain metastases: still the standard of care – authors' reply. The Lancet Oncology.
[4] 2021 CSCO指南
[5] 2021 ASCO. Abstract 10007
[6] Daniel John Renouf, et al. CCTG PA.7 trial. 2021ASCO-GI Abstract 411
[7] Yamamoto, et al. Microsatellite instability:an update
[8] Cancer Medicine. 2019.8(10):4699-4708
[9] Methods Mol Bio. 2020;2055:119-32




